À la une
Nos vidéos
À la une
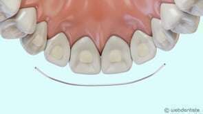
Le caractère innovant du procédé tient à la présence de 3 parties mécaniques (contrairement à 2 dans les techniques existantes actuelles) permettant des mouvements orthodontiques très contrôlés et d’une précision encore jamais égalée.
Affichage des articles 1-6 sur 11





